tipikus esetek

Tipikus és szép megoldások a TriDent fogfehérítéseiből

Fogfehérítés előtt

TriDent esetfotó

Fehérítés előtt: átlagosnál kissé sárgább színű fogak, melyekkel páciensünk nem volt elégedett.

… és után.

TriDent esetfotó

Fehérítés után: a professzionális fogfehérítés utáni ragyogó szín, mellyel magabiztosan mosolyoghat!

Fogfehérítés előtt

TriDent esetfotó

Fehérítés előtt: a fiatalember fogai sárgás árnyalatúak, esztétikai színkorrekcióra szorulnak.

… és után.

TriDent esetfotó

Fehérítés után: a egészséges fehér mosoly  a professzionális fogfehérítés után.

Fogfehérítés előtt

TriDent esetfotó

Fehérítés előtt: az átlagosnál kicsit sötétebb fogszín, a fiatal hölgynek régi álma volt a szép fehér fogazat.

… és után.

TriDent esetfotó

Fehérítés után: a professzionális fogfehérítés után a vonzó fehér mosolyt láthatjuk.

Fogfehérítés előtt

TriDent esetfotó

Fehérítés előtt: a fogak eredeti színe kissé sárgás, mely zavarta a csinos fiatal hölgyet.

… és után.

TriDent esetfotó

Fehérítés után: a professzionális fogfehérítés után jóval szebbek, világosabbak lettek a fogak, mely harmónikussá varázsolta a mosolyt.

Fogfehérítés előtt

TriDent esetfotó

Fehérítés előtt: egészséges színű fogak, amelyeket páciensünk még fehérebbé szeretett volna tenni.

… és után.

TriDent esetfotó

Fehérítés után: egységes fehér fogakat látunk a professzionális fogfehérítés után, mely magabiztossá tette a hölgyet.

Fogfehérítés előtt

TriDent esetfotó

Fehérítés előtt: egy korábbi sérülés miatt a jobb felső kismetsző gyökérkezelt és elszíneződött, a bal felső kismetsző éle kopott, csorbult. A teljes fogazat fehérítését igényelte a fiatal hölgy.

… és után.

TriDent esetfotó

Fehérítés után: belső fogfehérítéssel korrigáltam a jobb felső kismetsző színét, a teljes fogív színét professzionális fogfehérítéssel fehérítettem, majd a bal felső kismetsző élét állítottam helyre.
A végeredmény: egységes, szabályos, fehér mosoly, mely méltó a páciens ápolt külsejéhez.

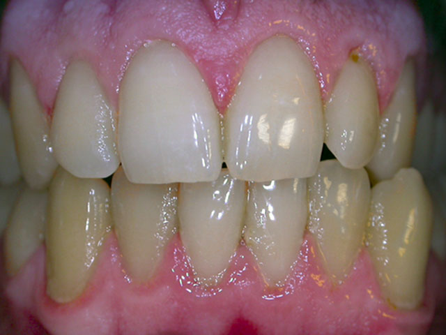
Fogfehérítés előtt

TriDent esetfotó

Fehérítés előtt: kedvezőtlen színű fogak, gyökérkezelt jobb felső kismetsző fog elszürkülve, régi tömések, melyek együttesen zavarták a vezető beosztásban dolgozó fiatalembert.

… és után.

TriDent esetfotó

Fehérítés után: a gyökérkezelt jobb felső kismetszőt belső fehérítéssel, a teljes fogazatot külső professzionális fehérítéssel kezeltem, majd kicseréltem a régi, elszíneződött töméseket. Így a páciensünk magabiztosan mosolyoghat.

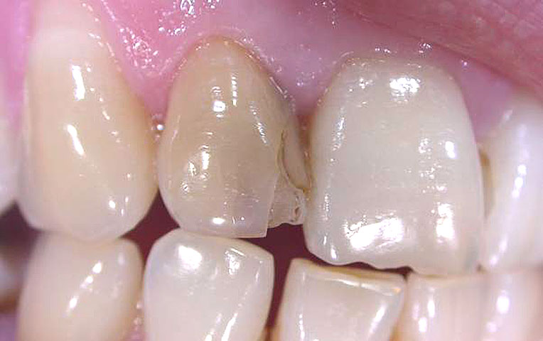
Fogfehérítés előtt

TriDent esetfotó

Fehérítés előtt, összetett esztétikai probléma: a jobb felső kismetsző fog gyökérkezelt, elszíneződött, letört. A fiatal hölgy a korona vagy héj nélküli helyreállítást és a kihozható maximális esztétikát „célozta meg”.

… és után.

TriDent esetfotó

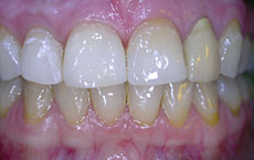
Fehérítés után: a kismetsző fog belső fehérítése és helyreállítása után a teljes fogazatra kiterjedő professzionális fogfehérítést végeztem. Ezután esztétikai kontúrozással korrigáltam az éleket.
A végeredmény: attraktív, egységesen szép fogazat.

Fogfehérítés előtt

TriDent esetfotó

Fehérítés előtt: sérülés miatt gyökérkezelt és elszíneződött jobb felső kismetszőt láthatunk, mely sokat ront ennek a fiatal lánynak a mosolyán.

… és után.

TriDent esetfotó

Fehérítés után: a belső fogfehérítéssel kezelt fog teljes színkorrekcióját tudtuk elérni, így boldogan és sokat mosolyoghat a fiatal lány.

Fogfehérítés előtt

TriDent esetfotó

Fehérítés előtt: az átlagos színű fogazathoz referenciaszínkét illesztettük a színkulcs hasonló színét.

… és után.

TriDent esetfotó

Fehérítés után: látható, hogy a professzionális fogfehérítés után több árnyalatot világosodott a fogazat a referenciaszínhez képest.

Fogfehérítés előtt

TriDent esetfotó

Fehérítés előtt, összetett probléma: elszíneződött gyökérkezelt jobb felső metszőfogak.

… és után.

TriDent esetfotó

Fehérítés után: a gyökérkezelt fogak belső fehérítése és a teljes fogazat professzionális fehérítése után láthatjuk az esztétikus végeredményt, mely magabiztosságot adott a páciens mosolyának.

Fogfehérítés előtt

TriDent esetfotó

Fehérítés előtt:  barnásan elszíneződött gyökérkezelt fogak, melyek színe eltér a mellette lévő egészséges fogaktól.

… és után.

TriDent esetfotó

Fehérítés után: az egységesre fehérített szép fogazat, amely esztétikus egységes mosolyt tesz lehetővé.

bemutatkozunk